ÖncekiSonraki
Sağlık Aktüel
  • DİĞER GALERİLER
  • TÜMÜNÜ GÖSTER
  • TAM EKRAN YAP

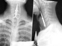
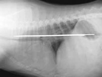
Şoke eden röntgen filmleri

Şoke eden röntgen filmleri galerisi resim 1
Foto Galeri» İlginç
Bu röntgen filmleri görenleri şaşkına çeviriyor!
02 Mayıs 2010 Pazar
1 / 20