ÖncekiSonraki
Sağlık Aktüel
  • DİĞER GALERİLER
  • TÜMÜNÜ GÖSTER
  • TAM EKRAN YAP

Bu röntgenler gerçek!

Bu röntgenler gerçek! galerisi resim 10
Foto Galeri» İlginç
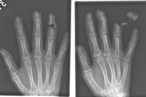
Bıçaklı bir saldırgan tarafından parmağı koparılmış bir kurbana ait röntgen.
Bu röntgenler gerçek!
07 Eylül 2010 Salı
10 / 14