ÖncekiSonraki
Sağlık Aktüel
  • DİĞER GALERİLER
  • TÜMÜNÜ GÖSTER
  • TAM EKRAN YAP

Bu röntgenler gerçek!

Bu röntgenler gerçek! galerisi resim 4
Foto Galeri» İlginç
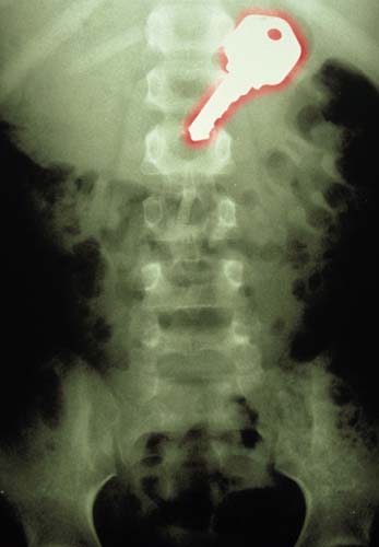
7 yaşında bir çocuk tarafından yutulmuş anahtar...
Bu röntgenler gerçek!
07 Eylül 2010 Salı
4 / 14