ÖncekiSonraki
Sağlık Aktüel
  • DİĞER GALERİLER
  • TÜMÜNÜ GÖSTER
  • TAM EKRAN YAP

Bu röntgenler gerçek!

Bu röntgenler gerçek! galerisi resim 1
Foto Galeri» İlginç
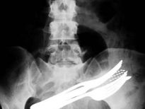
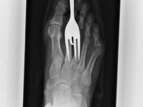
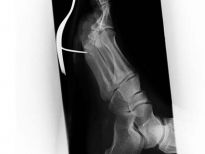
İki çatalı, bir tükenmez kalemi ve diş fırçasını yutmuş bir hasta.
Bu röntgenler gerçek!
07 Eylül 2010 Salı
1 / 14