Avrupa Birliğinin (AB), halk arasında gümüş dolgu olarak da bilinen ve cıva içerdiği öne sürülen amalgam dolguların kullanımını yasaklamasının ardından, Dr. Kerem Korkut, vücutta biriken cıvanın insan sağlığına etkileri hakkında önemli uyarılarda bulundu. Korkut, "Bilimsel kanıtlar, kronik cıva zehirlenmesinin; beyin, sinirler ve böbrek hasarı gibi pek çok daha farklı dokuyu etkileyebileceğini gösteriyor. Cıva zehirlenmesi yıllarca; kronik yorgunluk, depresyon, anksiyete, uykusuzluk ve sindirim sorunları semptomlarını tetikleyebilir. Bu nedenle cıva zehirlenmesinden korunmak önemlidir" dedi.
Tabiatta çok yaygın olarak kullanılan bir metal olan cıva, çok küçük miktarlarda bile etkili olabilen bir sinir sistemi toksini olarak tanımlanıyor. Merkez sinir sistemini ve böbrek sistemini doğrudan etkilediği kanıtlanan cıvanın; gelişim bozukluklarına, hareket ve beyin işlevi bozukluklarına neden olduğu da biliniyor. Solunması kimyasal akciğer yangısına, doku yıkımına yol açan bronşit oluşumuna neden olan cıvanın, etkilenim sürmesi durumunda süreç ölümle dahi sonuçlanabiliyor.
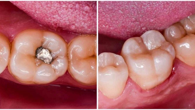
Avrupa Birliği de, bu konuda oldukça önemli bir adım attı. AB üyesi ülkelerde, cıva içerdiği ileri sürülen amalgam diş dolgularının kullanımını 1 Ocak 2025'ten itibaren geçerli olmak üzere yasaklandı.
İEÜ Medical Point Hastanesi Fonksiyonel Tıp Ünitesi hekimi Dr. Kerem Korkut da, cıvanın insan sağlığına olan zararlarından bahsetti. Korkut, "Bilimsel kanıtlar, kronik cıva toksisitesinin sağlığa pek çok farklı zararı olabileceğini; beyin, sinirler ve böbrek hasarı gibi pek çok daha farklı dokuyu etkileyebileceğini gösteriyor. Cıva zehirlenmesi yıllarca; kronik yorgunluk, depresyon, anksiyete, uykusuzluk ve sindirim sorunları semptomlarını tetikleyebilir. Bu nedenle, cıva zehirlenmesinden korunmak önemlidir" dedi.
Dip balıklarına dikkat
Cıva düzeylerinin ölçülmesi gerektiğinin altını çizen Korkut, "Farklı organ ve dokularımızın farklı miktarda cıva bağlama özelliği bulunduğu bilinen bir durumdur. Bu kanıtlar çerçevesinde, cıva düzeylerinin ölçülmesinde, farklı dokulardaki cıva seviyelerinin birlikte analizinin en doğru yöntemdir. Biz de hastalarımızın farklı dokularını eş zamanlı olarak test ederek cıva toksisitesi üzerine öneriler yapıyoruz. Bu testler, cıva seviyelerini daha güvenilir bir yöntemle belirlemek ve gerekli önlemleri almak için kullanılır" ifadelerini kullandı.
Alınacak önlemlerden de bahseden Dr. Kerem Korkut, "Amalgam diş dolgularının kompozit, porselen gibi sağlıklı materyallerle değiştirilmesi gerekiyor. Bunun yanı sıra cıva içeriği yüksek olan dip balıkları ve kabuklularının tüketiminin azaltılması ile besin desteklerinin kullanılması oldukça önemli. Bu önlemler, cıva maruziyetini azaltmaya ve vücudunuzun cıva ile ilişkili zararlara karşı daha dirençli olmasına yardımcı olabilir. Beslenme ve yaşam şeklini ilgilendiren fonksiyonel tıp yaklaşımında bu konuda yetkin bir doktor ve diyetisyenin iş birliği içinde hareket edilmesi önemlidir. İEÜ Medical Point Hastanesi Sağlıklı Yaşam ve Fonksiyonel Tıp Ünitesinde vücuttaki ağır metalleri ölçüyor, azaltılması yolunda program uyguluyoruz" diye konuştu.
























































